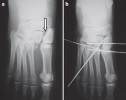
Fratura-luxação de Lisfranc



Historicamente, nas campanhas de Napoleão, principalmente na Batalha de Waterloo, o médico francês Jacques Lisfranc propunha amputação ao nível tarsometatarsiano, para as lesões decorrentes de traumatismos fechados do pé, com receio de necrose vascular e tecidual.
A articulação de Lisfranc é formada pelas bases dos cinco metatarsianos, com os três cuneiformes e com o cubóide. A base do segundo metatarsiano é o ponto-chave da estabilização dessa articulação, pois a mesma está encaixada no tarso e somente haverá luxação completa se essa articulação for rompida ou fraturada.
A conexão ligamentar entre a base do primeiro e do segundo metatarsiano é formada pelo ligamento também denominado de Lisfranc, que constitui um dos principais estabilizadores dessa articulação, além dos tecidos moles, tendões, fáscias e musculatura intrínseca da região.
O desvio da fratura-luxação das bases dos metatarsianos pode ser dorsal, plantar, medial, lateral ou até mesmo combinado. O desvio dorsal é o mais comum, associado a um mecanismo de lesão indireto, devido a abdução forçada do antepé, isolada ou em combinação, contrapondo-se ao mecanismo de lesão direto, decorrente de queda de um objeto sobre o calcâneo quando este se encontra em flexão plantar forçada.
Comentários